Theo hồ sơ bệnh án của Bệnh viện Sản Nhi tỉnh Phú Thọ, 4 giờ trước khi vào viện, bé C. chơi ở nhà hàng xóm và nuốt phải đinh vít nhưng không ai phát hiện ra. Sau khi nuốt dị vật, bé C. cũng không có biểu hiện nào bất thường. Rất may, khi người hàng xóm tìm không thấy chiếc đinh vít mới thông báo cho gia đình để đưa bé đi kiểm tra.
![]() |
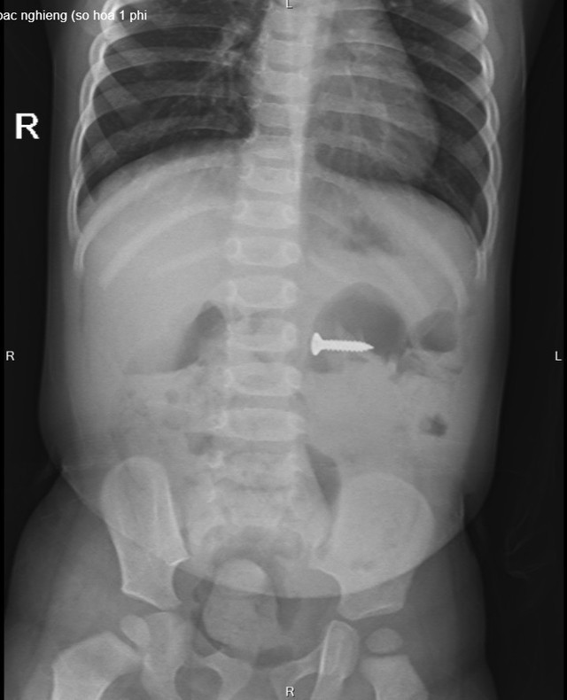
| Chiếc đinh vít sắc nhọn nằm trong dạ dày bệnh nhi trên phim chụp X-quang |
Tại Bệnh viện Sản Nhi tỉnh Phú Thọ, bé C. được chỉ định chụp X-quang thăm dò và phát hiện dị vật đinh vít sắc nhọn kích thước 2 cm trong dạ dày, vị trí ngang đốt sống D3 của trẻ. Sau khi hội chẩn, các bác sĩ Khoa Ngoại nhi tổng hợp đã chỉ định gây mê nội soi tiêu hóa cấp cứu gắp dị vật.
Sau 5 phút, BSCKI Triệu Ngọc Bích-Khoa Chẩn đoán hình ảnh (Bệnh viện Sản Nhi tỉnh Phú Thọ) đã gắp ra được dị vật là 1 chiếc đinh vít có một đầu sắc nhọn nằm trong dạ dày của bệnh nhi. Các bác sĩ cho biết, với sự sắc nhọn của đầu đinh, nếu không loại bỏ kịp thời có thể gây tổn thương đâm thủng thành ruột, dạ dày, thậm chí có thể gây tổn thương nhiều vị trí mà chiếc đinh đi qua.
Sau khi gắp dị vật, trẻ tiếp tục được nội soi tiêu hóa để kiểm tra lại, tình trạng thực quản, dạ dày, tá tràng đều ổn định, không còn dị vật nào khác.
![]() |
| Bác sĩ thăm khám lại cho bệnh nhi sau khi gắp đinh vít sắc nhọn trong dạ dày của bé |
Hiện tại, bệnh nhi được theo dõi sức khỏe tại Khoa Cấp cứu. Qua trường hợp này, các bác sĩ khuyến cáo, phụ huynh hoặc người trông trẻ cần hết sức chú ý, không nên để các bé chơi các loại đồ vật có kích thước nhỏ bởi với sự hiếu động, tò mò, bé sẽ ngậm vào miệng rồi vô tình nuốt luôn dị vật dẫn đến hậu quả đáng tiếc.

