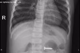
Kịp thời gắp đinh vít sắc nhọn trong dạ dày bé gái 2 tuổi
(GLO)- Ngày 14-12, Bệnh viện Sản Nhi tỉnh Phú Thọ cho biết, các bác sĩ khoa Cấp cứu đã tiếp nhận và kịp thời gắp 1 chiếc đinh vít sắc nhọn trong dạ dày bé N.P.C. (2 tuổi, trú tại huyện Lập Thạch, tỉnh Vĩnh Phúc).