Kết quả xét nghiệm gene được công bố bởi các nhà khoa học đã khẳng định rằng cá thể rùa cái được bẫy bắt vào tháng 10.2020 là loài Giải Sin-hoe (Rafetus swinhoei) hay Rùa Hoàn Kiếm, loài rùa mai mềm đang gần bên bờ tuyệt chủng.
Cá thể Rùa Hoàn Kiếm ở Đồng Mô là rùa cái
Ngày 18.12, các nhà khoa học đã công bố kết quả xét nghiệm gene để khẳng định cá thể rùa cái được bẫy bắt vào tháng 10 năm 2020 chắc chắn là loài rùa Hoàn Kiếm, hay còn gọi là Giải Sin-hoe, tên khoa học là Rafetus swinhoei.
Sự khẳng định này cho thấy ngoài cá thể Giải Sin-hoe (Rafetus swinhoei) đực hiện đang sống tại vườn thú Tô Châu, Trung Quốc; chúng ta giờ đã có thêm một cá thể rùa cái được bẫy bắt vào tháng 10.2020 tại hồ Đồng Mô, Hà Nội.
Cơ quan chức năng tin rằng vẫn còn có ít nhất một cá thể của loài này ở hồ Đồng Mô và một cá thể nữa ở hồ Xuân Khanh gần đó. Các nhà bảo tồn hy vọng có thể bẫy bắt và xác định giới tính của các cá thể rùa ở cả hai hồ Đồng Mô và Xuân Khanh trong mùa xuân tới.
Trên hết, các nhà bảo tồn hướng tới mục tiêu đảm bảo ít nhất một cá thể đực và một cái thể cái có cơ hội ghép đôi sinh sản, nhằm vực dậy loài này từ bên bờ vực tuyệt chủng.
 |
| Các chuyên gia thảo luận về quy trình thu thập mẫu. Nguồn ảnh: WCS Việt Nam |
Ông Nguyễn Huy Đăng, Phó Giám đốc Sở NN&PTNT Hà Nội, cho biết: “Sở NN&PTNT đã tham mưu với UBND thành phố để ban hành các văn bản chỉ đạo và phối hợp với các tổ chức quốc tế bước đầu thực hiện kế hoạch bảo tồn và phát triển các cá thể Giải sin-hoe. Sở đã chỉ đạo Chi cục Thủy sản tiếp tục thực hiện Kế hoạch 200 của UBND TP Hà Nội để khôi phục và bảo tồn loài rùa mai mềm nguy cấp quý hiếm trong sách đỏ của Việt Nam và thế giới."
Trước đó, đã có nhiều nỗ lực nhằm ghép đôi sinh sản hai cá thể Giải Sin-hoe (Rafetus swinhoei) ở Vườn thú Tô Châu, Trung Quốc. Nhưng sau đó, cá thể cái cuối cùng được biết đến vào thời điểm đó, đã chết vào ngày 13.4.2019 trong quá trình hồi phục sau gây mê khi thụ tinh nhân tạo ở Tô Châu, Trung Quốc.
Khi cá thể cái chết, niềm hy vọng dồn sang khả năng có tồn tại các cá thể khác ở hai hồ Đồng Mô và hồ Xuân Khanh của Việt Nam.
Kết quả phân tích gene đã khẳng định cá thể rùa này 99,99% là rùa Hoàn Kiếm (Rafetus swinhoei). Giám định động vật được thực hiện bởi Viện sinh thái và Tài nguyên sinh vật, Viện Hàn lâm Khoa học và Công nghệ Việt Nam và phân tích gene độc lập của Phòng Tài nguyên Thiên nhiên và Bảo tồn, Viện Tài nguyên môi trường thuộc Đại học Quốc gia Hà Nội.
Vẫn còn 1 cá thể ở hồ Đồng Mô
 |
| Cá thể rùa mai mềm thứ 2 được phát hiện trên hồ Đồng Mô. Nguồn ảnh: Tổ chức WCS |
Với việc quan sát được cá thể thứ hai nặng khoảng 130kg trên hồ Đồng Mô, Tổ bẫy bắt đã tiếp tục hoạt động bẫy bắt từ tháng 11.2020 và thử nghiệm các phương pháp bẫy bắt khác nhau.
Tuy nhiên, với thời tiết và nhiệt độ giảm, không thích hợp cho việc bẫy bắt rùa từ tháng 12 đến tháng 3, các chuyên gia hy vọng có thể bẫy bắt và khẳng định cá thể thứ hai tại hồ vào mùa xuân năm 2021, khi mực nước hồ ở mức thấp nhất.
Theo các chuyên gia, nếu có thể xác nhận thêm một cá thể đực của loài rùa quý hiếm nhất thế giới này tại hồ Đồng Mô, việc đưa chúng về cùng một khu vực bán hoang dã hoặc nuôi bảo tồn có thể mở ra cơ hội lớn để hồi phục quần thể của loài rùa này ở Việt Nam.
Bà Hoàng Bích Thủy, Giám đốc Quốc gia, tổ chức WCS Việt Nam chia sẻ: “Việc săn bắt quá mức và sự hủy hoại sinh cảnh sống gây nên sự diệt vong của rùa Hoàn Kiếm. Tại Việt Nam, dưới sự chỉ đạo của chính phủ, chúng tôi quyết tâm cùng hợp tác và hành động để loài rùa mai mềm này có thêm một cơ hội tăng số lượng quần thể”.
 |
| Cận cảnh đầu và vân của rùa Hoàn Kiếm. Nguồn ảnh: WCS Việt Nam |
 |
| Rùa Hoàn Kiếm nặng 86kg, chiều dài mai 99,5cm, chiều rộng mai là 74,5cm. Nguồn ảnh: WCS Việt Nam |
 |
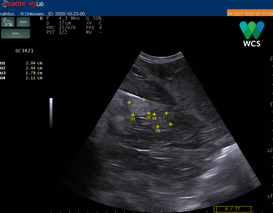
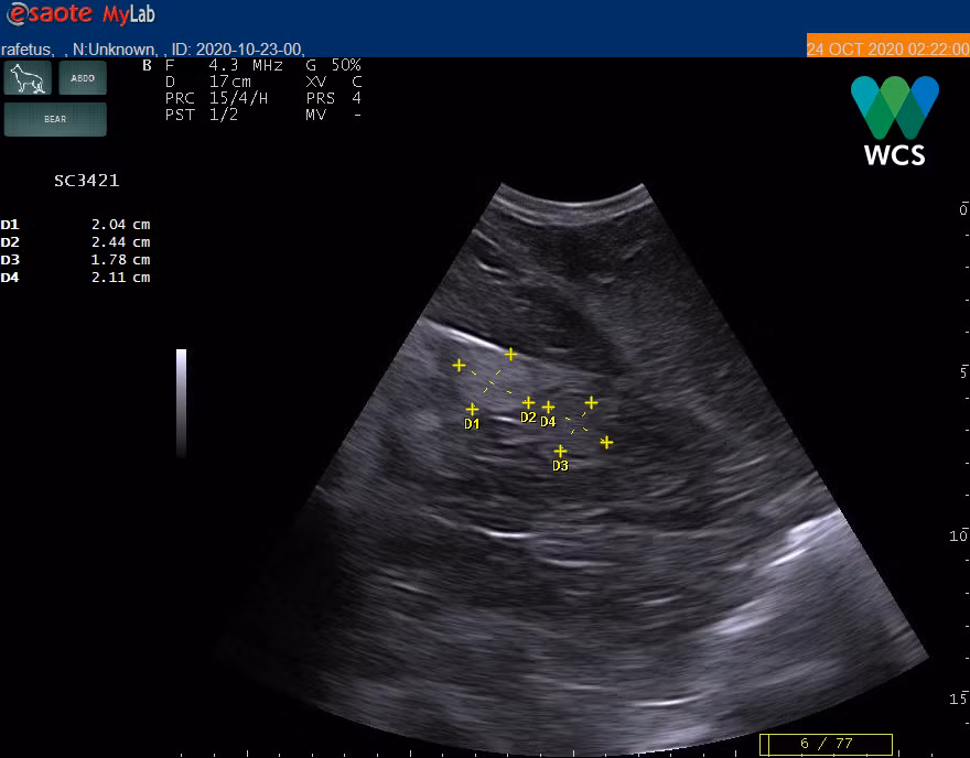
| Máy siêu âm soi được nang trứng của rùa, khẳng định đây là cá thể rùa cái. Nguồn ảnh: WCS Việt Nam |
 |
| Thả rùa Hoàn Kiếm trở lại tự nhiên. Nguồn ảnh: ATP/IMC |
 |
| Khoảnh khắc rùa Hoàn Kiếm trước khi được thả trở lại hồ Đồng Mô. Nguồn ảnh: ATP/IMC |
https://laodong.vn/moi-truong/xet-nghiem-gene-xac-nhan-rua-mai-mem-o-dong-mo-la-rua-hoan-kiem-863417.ldo
Theo THÙY LINH (LĐO)