Trí tuệ nhân tạo giảm áp lực cho y bác sĩ lẫn người bệnh

Theo dõi Báo Gia Lai trên Google News
Trí tuệ nhân tạo (AI) trong lĩnh vực y tế đang được đánh giá sẽ giúp giảm bớt áp lực căng thẳng cho các nguồn tài nguyên nhân lực, vật lực, tạo thêm thời gian cho những tương tác hiệu quả hơn giữa bác sĩ và người bệnh.
 
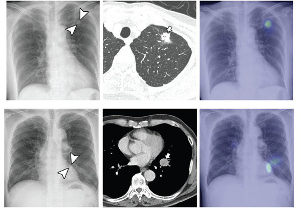
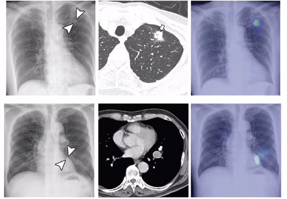
Chẩn đoán hình ảnh chụp tia X phần ngực bằng thuật toán DLAD - Ảnh: Twitter của ERICTOPOL
Một nghiên cứu đăng trên tạp chí y khoa Annals of Internal Medicine cho thấy trung bình các bác sĩ mất khoảng 49% thời gian làm việc của họ để điền thông tin vào các hồ sơ bệnh án điện tử và làm việc bàn giấy, chỉ 27% tổng thời gian của họ dành cho thăm khám lâm sàng trực tiếp người bệnh.
Trong khi đó, một nghiên cứu khác của Đại học California, San Francisco nhận thấy 82% dữ liệu được nhập vào hồ sơ bệnh án điện tử là dạng thông tin kiểu "copy-paste" hoặc nhập tự động, chỉ 18% thông tin được nhập liệu thủ công. Tất cả những yếu tố này là nguyên nhân làm gia tăng lỗi/sự cố y khoa và dẫn tới những quyết định chẩn trị sai lầm, gây hại hoặc nguy hiểm cho người bệnh. 
Thật may khi đây chính là lĩnh vực AI có thể giúp đỡ các bác sĩ và ngành y tế. Các mạng lưới thần kinh nhân tạo, công nghệ nền tảng của các thuật toán học sâu (deep learning), rất giỏi trong việc tìm ra những khía cạnh liên quan, mối tương quan giữa một khối dữ liệu khổng lồ, lộn xộn, chưa được sắp xếp như hình ảnh, âm thanh và văn bản.
Trong lĩnh vực y khoa, các thuật toán AI có thể tự động hóa một số nhiệm vụ trước đây tốn rất nhiều sức người. Chẳng hạn, những thuật toán này có thể giảm tải nỗi khổ phải ghi chép khi thăm khám bệnh nhân cho các bác sĩ. 
Đã có những nỗ lực lớn trong lĩnh vực này, trong đó có dự án của Microsoft và Google. Các thuật toán máy học (machine learning) có thể trích xuất những thông tin ý nghĩa từ việc thăm khám bệnh nhân, nhập thông tin người bệnh vào hồ sơ bệnh án điện tử.
Có nhiều lĩnh vực y khoa mà AI có thể giúp cải thiện tốc độ cũng như độ chính xác cho công việc chuyên môn của bác sĩ như phân tích ảnh chụp/chiếu, tìm kiếm thông tin liên quan trong các bệnh án.
Theo trang web của ĐH Harvard, gần đây thế giới đã ghi nhận hiệu quả của hai sự ứng dụng AI mang lại lợi ích cho cả bác sĩ lẫn người bệnh khi đưa ra những chẩn đoán nhanh chóng, đơn giản. 
Thuật toán đầu tiên giúp giải quyết nhiệm vụ phân loại hình ảnh với hiệu quả vượt trội. Mùa thu năm 2018, các nhà nghiên cứu tại Bệnh viện ĐH quốc gia Seoul và CĐ Y khoa Hàn Quốc đã phát triển ra thuật toán có tên DLAD để phân tích các ảnh chụp tia X phần ngực và phát hiện những khối u phát triển bất thường có thể là tín hiệu ung thư. 
Hiệu quả chẩn đoán hình ảnh của thuật toán này đã được so sánh với khả năng phát hiện bệnh của nhiều bác sĩ khi cùng xem xét các ảnh chụp X-quang giống nhau và ứng dụng DLAD đã làm tốt hơn 17/18 bác sĩ .
Thuật toán thứ hai là thành tựu của các nhà nghiên cứu thuộc dự án ứng dụng AI trong y tế của Google, và cũng đạt được trong mùa thu năm 2018 có tên LYNA giúp xác định các khối u di căn ở vú từ các mẫu sinh thiết hạch bạch huyết. 
Điều đáng nói, thuật toán LYNA có khả năng phát hiện cả những khu vực nghi có bệnh mắt thường không thể phân biệt trong các mẫu sinh thiết mà người và máy cùng xem xét.
D.Kim Thoa (TTO/tổng hợp)

Có thể bạn quan tâm

Gia Lai tăng cường công tác y tế dự phòng

Gia Lai tăng cường công tác y tế dự phòng

(GLO)- Ngày 30-10, Sở Y tế Gia Lai có Công văn số 3723/SYT-NVY về việc tăng cường công tác y tế dự phòng nhằm mục tiêu chủ động kiểm soát hiệu quả các dịch bệnh truyền nhiễm, đẩy mạnh phòng-chống các bệnh không lây nhiễm và các yếu tố nguy cơ ảnh hưởng đến sức khỏe cộng đồng.

Bộ Y tế đã đề xuất tăng mức xử phạt 1-2 lần với nhiều hành vi vi phạm tại dự thảo Nghị định mới.

Bộ Y tế đề xuất tăng mức phạt vi phạm về an toàn thực phẩm

(GLO)- Tại dự thảo Nghị định sửa đổi, bổ sung một số điều của Nghị định số 115/2018/NĐ-CP ngày 4-9-2018 quy định xử phạt vi phạm hành chính về an toàn thực phẩm được sửa đổi, bổ sung bởi Nghị định số 124/2021/NĐ-CP ngày 28-12-2021, Bộ Y tế đề xuất tăng mức xử phạt 1-2 lần với nhiều hành vi.

Khoa Thần kinh - Đột quỵ, Bệnh viện Đa khoa Trung tâm tỉnh Gia Lai không để "thuốc bẩn" lọt vào khu điều trị.

Dùng “thần dược” điều trị đột quỵ: Đừng biến hy vọng thành hiểm họa

(GLO)-Dù các chuyên gia y tế đã nhiều lần lên tiếng cảnh báo, nhưng những “thần dược” điều trị đột quỵ vẫn âm thầm xuất hiện. Từ niềm tin “còn nước còn tát”, không ít gia đình đã vô tình biến hy vọng thành hiểm họa, khiến bác sĩ phải vừa điều trị, vừa phải cảnh giác với… thuốc “lạ”.

Khám, tư vấn về sức khỏe tâm thần tại Bệnh viện Tâm Thần Quy Nhơn. Ảnh: N.T.H

Chăm sóc sức khỏe tâm thần, giảm gánh nặng bệnh tật

(GLO)- Theo nhiều chuyên gia y tế, cứ 4 người thì có 1 người từng trải qua vấn đề về sức khỏe tâm thần trong cuộc đời. Sức khỏe tâm thần không chỉ đơn thuần là “không mắc bệnh”, mà là trạng thái cân bằng cảm xúc, tâm lý, hành vi. Vì thế, chăm sóc sức khỏe tinh thần ngày càng được quan tâm hơn.

Tăng cường tuyên truyền, chăm sóc sức khỏe người dân vùng khó

Tăng cường tuyên truyền, chăm sóc sức khỏe người dân vùng khó

(GLO)- Qua triển khai Dự án 7 (Chương trình mục tiêu quốc gia phát triển kinh tế-xã hội vùng đồng bào dân tộc thiểu số và miền núi), người dân ở địa bàn phía Tây tỉnh đã và đang tiếp cận các dịch vụ y tế và được chăm sóc sức khỏe ngày một tốt hơn, góp phần nâng cao chất lượng cuộc sống.

Bộ Y tế kiểm tra công tác chỉ đạo tuyến, quy chế chuyên môn lĩnh vực y, dược cổ truyền tại Gia Lai

Bộ Y tế kiểm tra công tác chỉ đạo tuyến, quy chế chuyên môn lĩnh vực y, dược cổ truyền tại Gia Lai

(GLO)- Sáng 24-10, đoàn công tác của Cục Quản lý Y, Dược cổ truyền (Bộ Y tế) tiến hành kiểm tra công tác chỉ đạo tuyến, quy chế chuyên môn, thực hiện văn bản quy phạm pháp luật trong khám-chữa bệnh y học cổ truyền tại Bệnh viện Y dược cổ truyền-Phục hồi chức năng Pleiku, tỉnh Gia Lai.

Không chỉ là loại quả nhiệt đới thơm ngon, dứa còn được xem là người bạn "vàng” của phụ nữ bởi nhiều ích lợi. Ảnh: Internet

Lợi ích tuyệt vời của dứa cho sức khỏe phụ nữ

(GLO)- Không chỉ là loại quả nhiệt đới thơm ngon, dứa còn được xem là người bạn "vàng” của phụ nữ. Với hàm lượng vitamin C, mangan và các enzyme tự nhiên dồi dào, dứa giúp cơ thể tăng cường sức đề kháng, hỗ trợ tiêu hóa, làm đẹp da và cải thiện tâm trạng.

Trẻ mắc bệnh viêm phổi được theo dõi điều trị tại Khoa Nhi, Bệnh viện đa khoa trung tâm tỉnh. Ảnh: M.H

Thời tiết chuyển mùa, bệnh truyền nhiễm gia tăng

(GLO)- Mùa mưa năm nay, thời tiết ẩm ướt, mưa nắng thất thường cùng nhiệt độ cao tạo điều kiện thuận lợi cho nhiều loại vi rút, vi khuẩn phát triển mạnh. Hàng loạt bệnh truyền nhiễm nguy hiểm như sốt xuất huyết Dengue, tay chân miệng, bệnh đường hô hấp… đang có xu hướng tăng, nhất là ở trẻ em.

null