![]() |
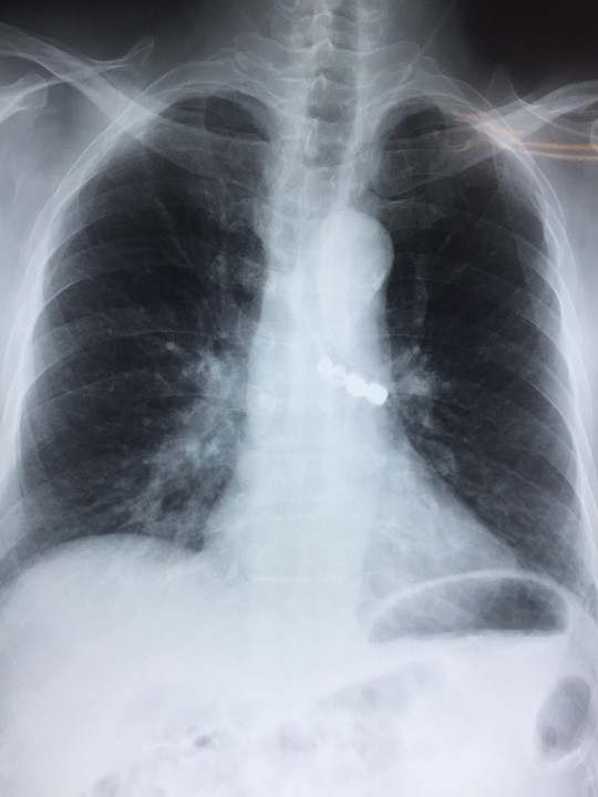
Dị vật nằm sâu trong phế quản khiến bệnh nhân khó thở, đe doạ tính mạng - Ảnh: Bác sĩ cung cấp |

![]() |
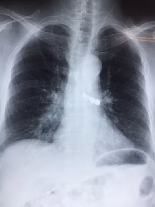
Dị vật nằm sâu trong phế quản khiến bệnh nhân khó thở, đe doạ tính mạng - Ảnh: Bác sĩ cung cấp |
(GLO)-Mặc dù công tác phòng-chống bệnh phong có nhiều chuyển biến tích cực, nhưng Gia Lai vẫn là địa phương ghi nhận số ca mắc mới cao nhất khu vực miền Trung-Tây Nguyên.
Protein không chỉ có trong thịt cá mà còn hiện diện trong một số loại trái cây, dù lượng protein không lớn nhưng chúng vẫn giúp duy trì năng lượng, hỗ trợ tiêu hóa và bảo vệ tim mạch hiệu quả.
(GLO)- Tổ chức Y tế thế giới (WHO) vừa phát đi cảnh báo toàn cầu về 3 loại siro ho nhiễm độc sản xuất tại Ấn Độ, sau khi các sản phẩm này bị cho là liên quan đến cái chết của hàng chục trẻ em.
Kim chi không ngờ lại mang nhiều lợi ích cho sức khỏe. Đặc biệt, nghiên cứu mới vừa được công bố trên tạp chí khoa học Nutrition Reviews, đã phát hiện kim chi có thể cải thiện đường huyết, hạ huyết áp.
Dù chưa có “thuốc trẻ hóa não,” nhưng chúng ta hoàn toàn có thể chủ động giảm tới 40% nguy cơ sa sút trí tuệ nếu duy trì 10 thói quen đã được chứng minh giúp tăng cường trí nhớ và khả năng tập trung.
(GLO)- Các chuyên gia cho rằng, đi bộ không chỉ là hoạt động thể chất đơn giản mà còn là “liệu pháp vàng” giúp kéo dài tuổi thọ. Với phương pháp đi bộ kiểu Nhật-chú trọng nhịp thở, tư thế và sự đều đặn mỗi ngày, nhiều người đã cải thiện sức khỏe tim mạch, xương khớp và tinh thần một cách rõ rệt.
Lá và nụ vối chứa hoạt chất kháng sinh tự nhiên, giúp kháng khuẩn, hỗ trợ tiêu hóa, ổn định đường huyết và giải độc gan.
Ngày 10/10, Bệnh viện Trung ương Quân đội 108 thông tin các bác sĩ tại đây vừa thực hiện thành công kĩ thuật ghép thận tự thân - một bước tiến đột phá của y học và là ca đầu tiên được ghi nhận tại Việt Nam.
(GLO)- Ngày 11-10, tại phường Diên Hồng, Bệnh viện Mắt Quốc tế Sài Gòn-Gia Lai tổ chức Hội thảo khoa học "Từ Phaco đến Glaucoma và Võng mạc" với sự tham gia của các chuyên gia đầu ngành nhãn khoa của Việt Nam, đại diện các bệnh viện trong và ngoài tỉnh.
(GLO)- Cơn đói vào đêm muộn là điều khó tránh, song ăn khuya không phải lúc nào cũng khiến bạn tăng cân. Chỉ cần chọn đúng thực phẩm, bạn vẫn có thể ngủ ngon mà không lo ảnh hưởng vóc dáng. Dưới đây là những món ăn đêm không gây tăng cân bạn có thể sử dụng.
(GLO)- Ngày 7 và 8-10, Tổ chức Catholic Relief Services (CRS) phối hợp với Sở Y tế Gia Lai tổ chức khám sàng lọc và đánh giá nhu cầu chăm sóc người khuyết tật đang được nuôi dưỡng tại Trung tâm Công tác xã hội và Bảo trợ xã hội An Nhơn (phường Bình Định).
Trà được coi là “bạn đồng hành” của bánh trung thu mỗi dịp rằm tháng 8; việc uống trà khi ăn bánh trung thu đem lại những lợi ích gì?
(GLO)- 8 tháng của năm 2025, chi phí khám chữa bệnh bảo hiểm y tế tại các cơ sở y tế khu vực phía Ðông tỉnh Gia Lai tăng 17,03% so với cùng kỳ, khiến quỹ bảo hiểm y tế âm hơn 331 tỷ đồng.
Bánh tày ôi thiu khiến 40 học sinh Trường Kim Thủy (tỉnh Quảng Trị) nhập viện dương tính với vi khuẩn Bacillus cereus.
(GLO)- Ngành Y tế tỉnh Gia Lai đang đẩy mạnh truyền thông, nâng cao nhận thức cộng đồng về tầm quan trọng của chăm sóc sức khỏe bà mẹ và trẻ sơ sinh, đặc biệt trong giai đoạn sau sinh-thời điểm “vàng” quyết định sức khỏe lâu dài của mẹ và con.
(GLO)- Theo báo cáo công tác y tế tháng 9-2025 của Bộ Y tế, trong tháng, cả nước ghi nhận 21.152 trường hợp mắc sốt xuất huyết, với 6 ca tử vong.
(GLO)- Từ ngày 6 đến 10-10, tại phường Pleiku, Vụ Kế hoạch-Tài chính (Bộ Y tế) phối hợp với Trung tâm Kiểm soát bệnh tật tỉnh Gia Lai tập huấn về kiến thức y học gia đình, quản lý bệnh mãn tính cho nhân viên y tế cơ sở trên địa bàn tỉnh.
(GLO)- Theo Sở Y tế Gia Lai, trong tuần qua, toàn tỉnh ghi nhận số ca mắc sốt xuất huyết (SXH) và tay chân miệng (TCM) mới gia tăng so với tuần trước đó. Cụ thể, toàn tỉnh ghi nhận 162 ca mắc SXH, tăng 12 ca và 32 ca TCM, tăng 6 ca so với tuần trước.
(GLO)- Ngày 2 và 3-10, tại Trung tâm Y tế Krông Pa, Ban Quản lý Dự án Bạn hữu trẻ em tỉnh Gia Lai phối hợp với Trung tâm Kiểm soát bệnh tật tỉnh tập huấn kỹ năng truyền thông tiêm chủng vắc xin cho trẻ 5 tuổi cho 25 đại sứ vắc xin của 2 xã thụ hưởng dự án là Ia Rsai và Phú Túc.
(GLO)- Ngày 3-10, Cục Phòng bệnh (Bộ Y tế) đã có công văn gửi Sở Y tế các tỉnh, thành phố về việc tăng cường công tác phòng-chống bệnh tay chân miệng. Trong 9 tháng năm 2025, cả nước ghi nhận gần 54.000 trường hợp mắc bệnh và hiện đang có xu hướng gia tăng.
(GLO)-Thực hiện Kế hoạch của Ban Chỉ đạo liên ngành Trung ương về an toàn thực phẩm và chỉ đạo của UBND tỉnh, thời gian qua, các sở, ngành, địa phương đã đẩy mạnh công tác kiểm tra, giám sát an toàn thực phẩm trên địa bàn.
Chuối thường bị xem là loại trái cây mà người tiểu đường cần tránh vì giàu đường tự nhiên. Tuy nhiên, nếu biết cách chọn loại chuối, ăn đúng thời điểm thì hoàn toàn có thể đưa vào chế độ ăn của người tiểu đường.
(GLO)- Sáng 2-10, Trung tâm Y tế Mang Yang phối hợp với UBND xã Lơ Pang (tỉnh Gia Lai) phát động Tuần lễ làm mẹ an toàn năm 2025 với chủ đề "Chăm sóc sau sinh toàn diện - Sức khỏe cho mẹ, tương lai cho bé".
(GLO)- Brazil nuôi muỗi mang vi khuẩn Wolbachia để chống lại dịch sốt xuất huyết. Phương pháp Wolbachia được Brazil đẩy mạnh áp dụng sau đợt bùng phát dịch bệnh nghiêm trọng hồi năm ngoái.