Trung tâm Chống độc (Bệnh viện Bạch Mai) tiếp nhận bệnh nhân T.T.T (46 tuổi, ở Hà Tĩnh) được chuyển đến từ Bệnh viện đa khoa tỉnh Hà Tĩnh trong tình trạng hôn mê sâu, ngừng tuần hoàn. Dù được các bác sĩ chống độc điều trị tích cực, tuy nhiên bệnh nhân không qua khỏi.
![]() |
| Rễ cây được người nhà bệnh nhân cung cấp, qua xét nghiệm là rễ cây lá ngón. TRUNG TÂM CHỐNG ĐỘC |
Ngừng tim, tổn thương não sau uống nước đun từ rễ cây khô
Theo bệnh sử, sáng sớm 4.7, bệnh nhân uống khoảng 500 - 600 ml nước thuốc sắc từ rễ cây phơi khô. Rễ cây này được cho là rễ cây cóc với công dụng chữa đau đầu, mất ngủ lâu năm, được đào trong rừng, thường được người dân dùng làm thuốc sắc uống.
Sau khi uống khoảng 10 phút, bệnh nhân xuất hiện méo miệng, mệt lả, gọi hỏi vẫn đáp ứng, được đưa đến trạm xá xã, sau đó chuyển bệnh viện huyện. Trên quãng đường kéo dài khoảng 15 phút, ý thức bệnh nhân giảm dần, gọi hỏi không đáp ứng.
Tại bệnh viện huyện, bệnh nhân được đặt ống nội khí quản, truyền dịch và chuyển gấp đến Bệnh viện đa khoa tỉnh Hà Tĩnh. Trên quãng đường kéo dài hơn 1 giờ, bệnh nhân xuất hiện tím tái.
Tại Bệnh viện đa khoa tỉnh Hà Tĩnh, bệnh nhân trong tình trạng ngừng tuần hoàn, được xử trí cấp cứu và có mạch trở lại. Tuy nhiên, ngừng tuần hoàn vẫn tiếp tục xảy ra sau đó bệnh nhân được chuyển đến Trung tâm Chống độc (Bệnh viện Bạch Mai) tại Hà Nội ngay trong ngày 4.7, trong tình trạng hôn mê sâu, suy hô hấp, trụy tim mạch.
Độc chất cây lá ngón
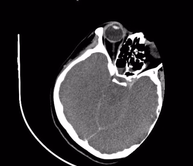
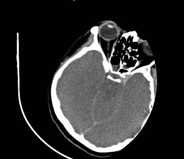
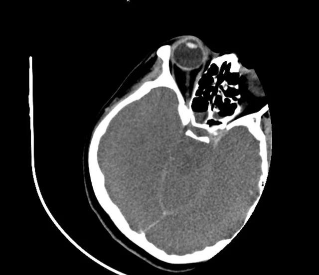
![]() |
| Phim chụp não nữ bệnh nhân bị tổn thương, phù nề sau khi uống nhầm nước đun từ rễ cây lá ngón. TRUNG TÂM CHỐNG ĐỘC |
Theo tiến sĩ - bác sĩ Nguyễn Trung Nguyên, Giám đốc Trung tâm chống độc, qua kinh nghiệm điều trị, với các biểu hiện của ca bệnh, các bác sĩ nghi ngờ bệnh nhân bị ngộ độc cây lá ngón.
"Chúng tôi đã thu thập mẫu nước sắc rễ cây của bệnh nhân để làm xét nghiệm tại bệnh viện, đồng thời gửi mẫu tới Viện Kiểm nghiệm an toàn vệ sinh thực phẩm quốc gia".
Kết quả xét nghiệm từ Viện Kiểm nghiệm an toàn vệ sinh thực phẩm quốc gia cho thấy mẫu nước sắc và cành rễ khô thái lát người nhà bệnh nhân cung cấp, đều tìm thấy chất độc nhóm koumine và gelsemine, là các độc tố "điển hình" trong cây lá ngón.
"Cây lá ngón và cây rễ cóc có hình dạng giống nhau, rất dễ nhầm lẫn. Việc đào một rễ cây từ đất trong rừng vốn đã nhiều cây cối mọc đan xen nhau thì hoàn toàn có thể lấy nhầm phải rễ của một cây khác. Trung tâm chống độc trước đây cũng từng gặp các trường hợp tương tự uống nhầm phải rễ cây lá ngón, hoặc tự tử bằng ăn lá ngón", bác sĩ Nguyên chia sẻ.
Thành phần độc tố trong cây lá ngón gồm các alkaloid indole: koumine, gelsemine, gelsemicine, sempervirine và các chất khác. Các độc tố có ở toàn bộ cây nhưng nhiều nhất là ở rễ. Thậm chí, mật hoa lá ngón, ong ăn phải mật cũng có thể bị nhiễm độc.
"Cây lá ngón rất dễ nhầm lẫn với các loại cây thuốc, rau rừng, nguy cơ ngộ độc cao nếu ăn phải. Cần loại bỏ cây lá ngón khỏi khu vực sinh sống", Giám đốc Trung tâm Chống độc đặc biệt lưu ý, đồng thời cho biết, với tất cả các cây cỏ, động vật, nấm thì việc nhận dạng xác định giữa loại độc và không có độc, hoặc nhận dạng xác định đúng là rất khó và nguy hiểm với người dân. Chỉ có các chuyên gia về từng lĩnh vực mới có thể nhận dạng, ví dụ chuyên gia về thực vật, chuyên gia về nấm, chuyên gia về rắn hay các vị làm thuốc nói chung.
Chuyên gia chống độc khuyến cáo, thuốc tây y hay thuốc y học cổ truyền cũng phải luôn bắt buộc tuân thủ theo nguyên tắc về quản lý và sử dụng thuốc. Với người dân, không nên tự ý vào rừng đào rễ cây, hái lá rừng để sử dụng, rất dễ nhầm lẫn với cây lá ngón.
Bác sĩ Trung Nguyên khuyến cáo: "Người dân bị bệnh hãy đi khám tại các cơ sở y tế, các bệnh viện. Nếu muốn dùng thuốc y học cổ truyền thì cũng phải khám trực tiếp tại các cơ sở khám, chữa bệnh được cấp phép, đủ năng lực khám chữa bệnh, với các thầy thuốc, lang y có chứng chỉ, có đăng ký, được cấp phép hành nghề, tránh rước họa vào thân".
Cây lá ngón (còn có tên gọi là ngón vàng, thuốc rút ruột) thuộc họ mã tiền, thân cây dạng leo, là loại cây độc, thường mọc tự nhiên ở các tỉnh miền núi, đặc biệt phía bắc nước ta.
Độc tố chính của lá ngón là các độc tố thần kinh (gây liệt các cơ, giật cơ giống co giật), độc với tim (gây loạn nhịp tim). Sau khi ăn uống cây lá ngón, độc tố hấp thu nhanh, tình trạng ngộ độc xuất hiện nhanh, chỉ khoảng 5 - 10 phút.
![]() |
| Cây lá ngón tươi |
Chất độc vào cơ thể gây liệt tất cả các cơ, nhìn đôi (nhìn một vật thành 2, do liệt cơ mắt), mờ mắt, méo miệng, nói khó, liệt các cơ hô hấp biểu hiện khó thở, thở yếu, suy hô hấp, liệt chân, tay, loạn nhịp tim và nhanh chóng ngừng tim, tử vong nếu không được cấp cứu kịp thời. Nguyên nhân tử vong là do liệt các cơ hô hấp (cơ hoành, cơ liên sườn, các cơ vùng hầu họng), co cứng cơ, giật cơ giống co giật hoặc do loạn nhịp tim, hoặc cả kết hợp các nguyên nhân này.
(Trung tâm Chống độc, Bệnh viện Bạch Mai)


