
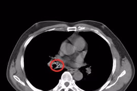
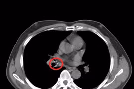
Ớn lạnh phát hiện 20 viên nam châm rỉ sét nằm trong bụng bé trai
Trong quá trình mổ, các bác sĩ phát hiện ruột non của bé trai bị thủng 8 lỗ, dị vật đã rỉ sét bám dính gây hoại tử.
Trong quá trình mổ, các bác sĩ phát hiện ruột non của bé trai bị thủng 8 lỗ, dị vật đã rỉ sét bám dính gây hoại tử.
Ngày 24-5, Bệnh viện Nhi đồng 2 cho biết, vừa nội soi cấp cứu gắp 1 cây tăm nhọn dài 7cm đâm xuyên tá tràng, tụ dịch vùng cực dưới lách trong bụng bé trai T.V.G.B. (12 tuổi, ngụ tỉnh Bình Dương).
Bệnh viện Sản - Nhi tỉnh Quảng Ngãi đã xử lý thành công việc gắp 1 cây đinh sắt dài 3 cm trong tá tràng bé trai 6 tuổi.
Sau khi lấy mảnh xương vịt ra khỏi phế quản, bệnh nhân mới nhớ lại cách đây khoảng 2 năm có hóc xương và khoảng 1 năm trở lại đây, ông bị ho dai dẳng, đau ngực kéo dài, viêm phổi nặng tái phát nhiều lần.
Bé trai 1 tuổi ở Lâm Đồng bị hóc hạt bí trong đường thở, các bác sĩ ở Bệnh viện Sản Nhi tỉnh Quảng Ngãi đã gắp dị vật ra khỏi đường thở thành công.
Trong lúc đùa giỡn cùng bạn, bé trai 13 tuổi bị dao đâm thủng hộp sọ phải nhập viện cấp cứu.
Sau khi vô tình nuốt đầu nắp bút, bé gái ho, khó thở, đau ngực, bị tổn thương não không hồi phục dẫn đến tử vong sau 4 ngày điều trị.
Đang đứng xem câu cá, bé trai 11 tuổi bị móc câu móc luôn vào gần tai ngay khu dây thần kinh quan trọng, phải nhập viện cấp cứu.
Giá cà phê | Giá trung bình | Thay đổi |
Đắk Lắk | 1,000 | |
Lâm Đồng | 800 | |
Gia Lai | 800 | |
Đắk Nông | 1,000 | |
Giá tiêu | 146,000 | 0 |
USD/VND | 26,116 | -8 |
Theo: | giacaphe.com |