Theo Viện Tim mạch Việt Nam, trường hợp được can thiệp bệnh lý động mạch vành đặc biệt phức tạp là một bệnh nhân nữ 80 tuổi, có nhiều bệnh lý nền (tăng huyết áp, đái tháo đường, suy thận). Bệnh nhân chỉ còn một thận (một thận đã bị cắt do sỏi thận). Ca can thiệp được thực hiện chiều qua 26.1.
Trước đó, bệnh nhân nhập viện điều trị tại Viện Tim mạch Việt Nam (Hà Nội), do bệnh lý động mạch vành cấp. Trước đó, tại bệnh viện tuyến tỉnh, kết quả chụp động mạch vành qua da cho thấy bệnh nhân tổn thương động mạch vành rất phức tạp, cần được chuyển lên tuyến trên.
![]() |
| Ca can thiệp tim mạch phức tạp do GS Phạm Mạnh Hùng cùng các bác sĩ thực hiện tại Viện Tim mạch Việt Nam được truyền hình trực tiếp đến hội nghị khoa học quốc tế tại Singapore. Ảnh: THÚY ANH |
Tại Viện Tim mạch Việt Nam, các bác sĩ hội chẩn và nhận định đây là một ca khó, do tổn thương động mạch vành với nhiều chỗ hẹp và bệnh nhân có nhiều bệnh lý đi kèm.
Đặc biệt, bệnh nhân bị vôi hóa toàn bộ cả 3 nhánh động mạch vành, tổn thương thân chung động mạch vành trái (đây là vị trí trọng yếu, là gốc của các nhánh động mạch vành bên trái). Động mạch vành là hệ thống mạch máu có chức năng chính là cung cấp máu giàu ô xy cho cơ tim, duy trì hoạt động của quả tim. Với tổn thương ở người bệnh, trước đây chỉ có thể phẫu thuật tim mở.
Tuy nhiên, điều kiện sức khỏe của bệnh nhân không cho phép thực hiện phẫu thuật tim mở, do đó, các bác sĩ đã quyết định lựa chọn biện pháp can thiệp nong và đặt stent cho người bệnh, qua 2 lần can thiệp.
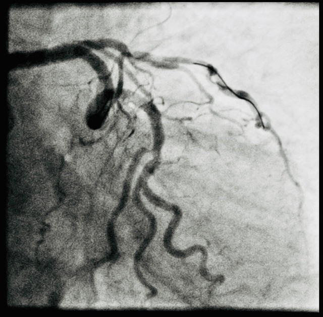
![]() |
| Hình ảnh mạch vành với tình trạng vôi hóa, tổn thương rất nhiều được can thiệp thành công. Ảnh: THÚY ANH |
Lần thứ nhất, bệnh nhân được can thiệp nhánh động mạch vành phải, trước đó 1 tuần.
GS-TS Phạm Mạnh Hùng, Viện trưởng Viện Tim mạch Việt Nam, cho biết trong lần can thiệp thứ hai, các bác sĩ can thiệp trực tiếp vào tổn thương hẹp rất nặng của thân chung động mạch vành trái kèm theo hai nhánh chính bên trái (hệ thống các nhánh động mạch vành bên trái là trọng yếu với quả tim, trong đó xuất phát từ một gốc gọi là thân chung).
Lần can thiệp này thực hiện chiều 26.1, đã được truyền hình trực tiếp đến điểm cầu hội nghị khoa học thế giới về tim mạch can thiệp, tổ chức tại Singapore.
Kíp can thiệp do GS Phạm Mạnh Hùng làm trưởng nhóm, cùng các bác sĩ của viện thực hiện thành công, trong khoảng 1 giờ.
Trong quá trình tiến hành can thiệp, nhiều kỹ thuật, thao tác khó đã được các bác sĩ thực hiện. Các bác sĩ sử dụng siêu âm trong lòng mạch để hướng dẫn can thiệp chính xác; sử dụng "mẹo" với 2 dây dẫn để trượt stent qua các góc uốn lượn, hoặc cách uốn dây dẫn để "lái" vào những vị trí khó, đảm bảo an toàn người bệnh.
Đặc biệt, trong lần can thiệp này, nhóm tác giả cũng sử dụng kỹ thuật "hybrid" để đặt stent vào nhánh chính lớn. Với nhánh phụ và phần mạch hẹp dài được sử dụng công nghệ bóng phủ thuốc chống tái hẹp nong mạch vành. Các kỹ thuật can thiệp giúp cho người bệnh không phải đặt quá nhiều stent; giảm nguy cơ tái hẹp hoặc tắc lại stent.
Theo GS Hùng, trước đây, bệnh nhân có tổn thương thân chung được coi là chống chỉ định để can thiệp. Nhưng với tiến bộ của kỹ thuật và nhiều phương tiện hiện đại, đặc biệt kinh nghiệm và tay nghề của thầy thuốc đã có thể can thiệp những tổn thương này.
Trong quá trình thực hiện, nhóm can thiệp đã giải đáp các "chất vấn" từ chủ tọa và các đồng nghiệp quốc tế dự hội nghị tại Singapore. Kỹ thuật can thiệp và kinh nghiệm chuyên môn của các bác sĩ thuộc Viện Tim mạch Việt Nam được bạn bè đánh giá cao.
Sáng nay 27.1, thông tin về sức khỏe bệnh nhân sau ca can thiệp phức tạp, một thành viên kíp can thiệp cho biết, bệnh nhân đỡ khó thở, đỡ đau ngực, các thông số sinh tồn và xét nghiệm cơ bản đã ổn định, trở lại bình thường.
Tim mạch can thiệp là chuyên ngành sâu trong tim mạch, sử dụng các trang thiết bị qua đường ống thông để can thiệp, chữa khỏi các bệnh tim mạch mà không cần phải mổ hoặc đôi khi phẫu thuật cũng không thực hiện được. Ví dụ như nong, đặt stent động mạch vành, thay van tim qua đường ống thông, điều trị các bệnh tim bẩm sinh qua ống thông, triệt đốt các rối loạn nhịp.
Hiện, cả nước có hơn 120 trung tâm can thiệp tim mạch và đã can thiệp được hầu hết những trường hợp bệnh tim mạch thông thường, kịp thời, đặc biệt là với nhồi máu cơ tim cấp.
Nhiều thầy thuốc của Viện Tim mạch Việt Nam là các chuyên gia hàng đầu trong nước và quốc tế, đã chuyển giao kỹ thuật đến nhiều trung tâm tim mạch tại các quốc gia.
Người bệnh tim mạch trong nước không cần phải ra nước ngoài chữa bệnh, mà vẫn được điều trị kịp thời (là yếu tố đặc biệt quan trọng với bệnh lý tim mạch) và tiết kiệm chi phí lớn.

