![]() |
| Các bác sĩ thực hiện ca nội soi lấy dị vật cho bệnh nhi. |
![]() |
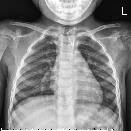
| Vị trí chiếc kim băng nằm trong thực quản bệnh nhi. |
![]() |
| Chiếc kim băng được lấy ra. |
![]() |
| Các bác sĩ thực hiện ca nội soi lấy dị vật cho bệnh nhi. |
![]() |
| Vị trí chiếc kim băng nằm trong thực quản bệnh nhi. |
![]() |
| Chiếc kim băng được lấy ra. |
(GLO)- Cháo là một lựa chọn tuyệt vời về mặt khoa học dinh dưỡng cho bữa sáng, nếu được kết hợp đầy đủ các nhóm chất. Việc ăn cháo vào buổi sáng có lợi đối với sức khỏe tiêu hóa, kiểm soát cân nặng và hơn thế nữa.
(GLO)- Quả ớt có nhiều hoạt chất tốt cho sức khỏe nhưng bạn nên ăn lượng vừa phải, phù hợp cơ địa giúp tận dụng tối đa công dụng và tránh các rủi ro không mong muốn.
Ăn nhiều trái cây là một trong những cách đơn giản nhưng hiệu quả để giảm nguy cơ bệnh tim. Chúng chứa những thành phần được chứng minh giúp hạ huyết áp, giảm cholesterol có hại và cải thiện chức năng nội mạc mạch máu.
(GLO)- Đậu phụ là món ăn quen thuộc và được xem là lựa chọn lành mạnh cho mọi lứa tuổi. Thế nhưng, trên thực tế, nếu ăn quá nhiều đậu phụ hoặc sử dụng không đúng cách có thể gây ảnh hưởng xấu đến sức khỏe.
(GLO)- Nhiều người ăn quýt khi bóc vỏ thường loại bỏ luôn những sợi tơ trắng dính chặt giữa vỏ và quả. Tuy nhiên, theo các chuyên gia dinh dưỡng Hàn Quốc, phần “chỉ trắng” này thực chất lại rất có lợi cho sức khỏe.
(GLO)- Cà tím ẩn trong mình một “kho báu” dinh dưỡng nhưng lại ít người để ý. Từ chất chống oxy hóa mạnh, lượng chất xơ dồi dào đến khả năng hỗ trợ tim mạch và kiểm soát cân nặng, loại quả tím sẫm này xứng đáng được đặt đúng vị trí trong thực đơn hằng ngày.
Nước cam từ lâu đã được biết đến với lợi ích cho sức khỏe tim mạch và hệ miễn dịch.
Yến mạch là một nguồn cung cấp tinh bột hấp thụ chậm, chứa nhiều chất xơ hòa tan như beta-glucan giúp kiểm soát đường huyết, giảm mức cholesterol xấu và đem lại cảm giác no lâu hơn.
(GLO)- Sữa chua là thực phẩm giàu lợi khuẩn và tốt cho tiêu hóa, nhưng không phải món nào cũng phù hợp để dùng kèm. Một số thực phẩm khi kết hợp với sữa chua có thể gây đầy bụng, ảnh hưởng tiêu hóa hoặc làm giảm giá trị dinh dưỡng.
Rau củ không chỉ là món ăn kèm, đó là “liều thuốc tự nhiên” giàu chất xơ, vitamin, khoáng chất và hợp chất chống oxy hóa giúp cơ thể chống lại lão hóa, tăng cường miễn dịch và duy trì não bộ minh mẫn.
Hạt chia là nguồn dinh dưỡng dồi dào, việc tiêu thụ thường xuyên trong 14 ngày có thể mang lại nhiều lợi ích sức khỏe cho cơ thể bạn.
Mất ngủ là nỗi lo của nhiều người, đặc biệt là người lớn tuổi. Tin vui là nghiên cứu mới vừa tìm ra 'công thức vàng 2 - 1' siêu hay cho giấc ngủ ngon.
Đất nước tràn ngập ánh nắng như Việt Nam nhưng lại đang xảy ra nghịch lý thiếu vitamin D dẫn tới những vấn đề nghiêm trọng về sức khỏe cộng đồng. Thực trạng trên khiến từ trẻ nhỏ, phụ nữ đến người cao tuổi đối mặt với nguy cơ loãng xương và suy giảm hệ miễn dịch.
Bí đỏ giàu vitamin A, chất xơ và chất chống oxy hóa, nhưng không phải ai cũng có thể ăn thoải mái. Người mắc bệnh thận, tiểu đường hay rối loạn tiêu hóa nên lưu ý để tránh tác dụng ngược.
Rau lang có thể chế biến thành nhiều món ngon khác nhau, từ những món đơn giản như luộc hay xào cho đến các món canh, giúp bạn dễ dàng bổ sung rau xanh vào bữa ăn hằng ngày.
Trong nhịp sống hiện đại, ăn tối muộn dường như đã trở thành thói quen phổ biến. Tuy nhiên, cả y học cổ truyền và y học hiện đại đều cho rằng thời điểm của bữa ăn cuối trong ngày ảnh hưởng lớn đến sức khỏe tổng thể.
Một sai lầm khi sử dụng khoai lang mà rất nhiều người mắc là ăn lúc bụng đói; điều này nếu trở thành thói quen sẽ ảnh hưởng xấu đến sức khỏe.
(GLO)- Không chỉ là loại quả nhiệt đới thơm ngon, dứa còn được xem là người bạn "vàng” của phụ nữ. Với hàm lượng vitamin C, mangan và các enzyme tự nhiên dồi dào, dứa giúp cơ thể tăng cường sức đề kháng, hỗ trợ tiêu hóa, làm đẹp da và cải thiện tâm trạng.
(GLO)- Bí đỏ là nguồn dinh dưỡng quý giúp tăng cường sức khỏe, cải thiện thị lực và phòng ngừa nhiều bệnh mạn tính. Nhờ chứa nhiều vitamin A, C, chất xơ và chất chống oxy hóa, bí đỏ được ví như “thực phẩm vàng” cho mọi lứa tuổi.
(GLO)- Cơn đói vào đêm muộn là điều khó tránh, song ăn khuya không phải lúc nào cũng khiến bạn tăng cân. Chỉ cần chọn đúng thực phẩm, bạn vẫn có thể ngủ ngon mà không lo ảnh hưởng vóc dáng. Dưới đây là những món ăn đêm không gây tăng cân bạn có thể sử dụng.
Trà được coi là “bạn đồng hành” của bánh trung thu mỗi dịp rằm tháng 8; việc uống trà khi ăn bánh trung thu đem lại những lợi ích gì?
(GLO)- Vỏ chanh thường bị bỏ đi sau khi vắt lấy nước, song ít ai biết rằng, đây là một “kho báu” dinh dưỡng quý giá. Giàu vitamin C, chất chống oxy hóa, tinh dầu tự nhiên và chất xơ, vỏ chanh giúp tăng cường sức đề kháng, làm đẹp da, hỗ trợ tiêu hóa và phòng ngừa nhiều bệnh lý thường gặp.
Chuối thường bị xem là loại trái cây mà người tiểu đường cần tránh vì giàu đường tự nhiên. Tuy nhiên, nếu biết cách chọn loại chuối, ăn đúng thời điểm thì hoàn toàn có thể đưa vào chế độ ăn của người tiểu đường.
(GLO)- Việc tuân thủ chế độ ăn Địa Trung Hải không chỉ giúp bảo vệ sức khỏe răng miệng, mà còn góp phần giảm nguy cơ viêm nhiễm-yếu tố gắn liền với hàng loạt bệnh mãn tính và chứng mất trí nhớ.