![]() |
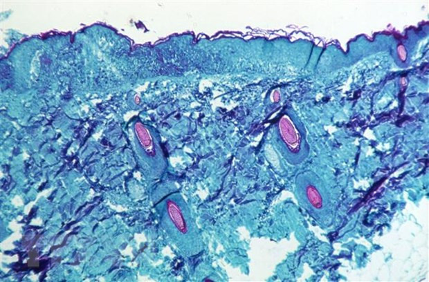
Một phần tế bào da của một con khỉ bị mắc bệnh đậu mùa khỉ. Ảnh: REUTER/TTXVN |

![]() |
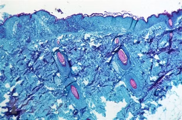
Một phần tế bào da của một con khỉ bị mắc bệnh đậu mùa khỉ. Ảnh: REUTER/TTXVN |
(GLO)-Ngành Y tế Gia Lai vừa ghi thêm một dấu ấn khi bác sĩ CKII Nguyễn Văn Trung, Trưởng khoa Thần kinh - Đột quỵ (Bệnh viện Đa khoa Trung tâm tỉnh), được bầu giữ chức Phó Chủ tịch Hội Can thiệp mạch thần kinh Việt Nam nhiệm kỳ 2025-2030.
(GLO)- Ngày 28-9, Bệnh viện Đa khoa Gia Lai (phường Pleiku) đã công bố áp dụng bệnh án điện tử. Đây là một trong những giải pháp nhằm nâng cao chất lượng chăm sóc sức khỏe cho người dân trên địa bàn.
(GLO)- Ngày 27-9, ông Lê Quang Hùng-Giám đốc Sở Y tế tỉnh Gia Lai có buổi làm việc tại Trung tâm Y tế Chư Sê về công tác cải cách hành chính.
(GLO)- Ngày 25 và 26-9, tại phường Pleiku, Chi cục An toàn vệ sinh thực phẩm tỉnh Gia Lai tiến hành tập huấn nâng cao năng lực về điều tra, giám sát, xử lý ngộ độc thực phẩm cho 150 viên chức, nhân viên y tế của 77 xã, phường phía Tây tỉnh.
Tai nạn lao động khiến thai phụ đứt lìa bàn tay nhưng chưa thể phẫu thuật nối lại vì an toàn của thai nhi. Các bác sĩ đã "ghép tạm" bàn tay vào chân người bệnh để nuôi dưỡng, chờ thời điểm phẫu thuật thích hợp.
(GLO)- Ngày 25-9, tại phường Pleiku, Trung tâm Kiểm soát bệnh tật tỉnh Gia Lai tổ chức hội thảo về công tác chăm sóc sức khỏe sinh sản.
Ớt không chỉ là loại gia vị quen thuộc trong bữa ăn, mà còn là vị thuốc hiệu quả giúp hỗ trợ điều trị nhiều bệnh từ viêm khớp đến tai biến mạch máu não.
(GLO)- Ngày 24-9, Thứ trưởng Bộ Y tế Trần Văn Thuấn-Chủ tịch Hội đồng Y khoa quốc gia đã chủ trì cuộc họp về tiến độ phê duyệt phương án giá đối với các dịch vụ kỹ thuật chẩn đoán hình ảnh sử dụng hệ thống lưu trữ và truyền tài hình ảnh y khoa (PACS) tại Bệnh viện Bạch Mai.
(GLO)- Sáng 24-9, Trung tâm Y tế Pleiku tổ chức tập huấn công tác tiêm chủng trường học cho 155 cán bộ phụ trách tiêm chủng tại các xã, phường gồm: Diên Hồng, Pleiku, Hội Phú, Thống Nhất, Biển Hồ, An Phú, xã Gào và 18 điểm trạm y tế thuộc Trung tâm Y tế Pleiku.
(GLO)- Sáng 22-9, tại phường Diên Hồng, Bệnh viện Mắt Quốc tế Sài Gòn-Gia Lai công bố áp dụng bệnh án điện tử (EMR).
(GLO)- Thời gian gần đây, Bệnh viện Ða khoa (BVĐK) trung tâm tỉnh Gia Lai liên tiếp cứu sống nhiều bệnh nhân nguy kịch nhờ triển khai thành công kỹ thuật lọc máu liên tục (CRRT - Continuous Renal Replacement Therapy).
Nhìn chung, hải sản được xem là nguồn protein tốt, giàu vi chất và a xít béo omega-3 có lợi cho tim mạch. Nhưng mặt khác, với người có cholesterol cao, không phải loại hải sản nào cũng nên ăn, nhất là khi ăn nhiều hoặc thường xuyên.
(GLO)-Tối 19-9, Trung tâm Kiểm soát bệnh tật tỉnh Gia Lai phối hợp với Công ty TNHH Dược phẩm Takeda Việt Nam tổ chức chương trình sinh hoạt khoa học với chủ đề “Sốt xuất huyết Dengue: Quản lý nguy cơ và chủ động phòng ngừa”.
(GLO)- Cục Quản lý Dược (Bộ Y tế) vừa yêu cầu thu hồi và tiêu hủy toàn bộ lô sản phẩm kem bôi da Sun G8 Collagen vì chỉ số SPF thực tế thấp hơn gần 4 lần so với công bố trên nhãn.
(GLO)- Ê buốt răng không chỉ gây khó chịu khi ăn uống mà còn ảnh hưởng đến sinh hoạt hằng ngày. Với vài bí quyết đơn giản “bỏ túi”, bạn hoàn toàn có thể giảm cảm giác khó chịu này và bảo vệ răng miệng khỏe mạnh hơn.
(GLO)- Ngày 18 và 19-9, Trung tâm Kiểm soát bệnh tật tỉnh Gia Lai tổ chức điều tra tỷ lệ thiếu máu ở trẻ em 6-59 tháng tuổi và phụ nữ mang thai tại xã An Lão.
(GLO)- 5 sản phẩm bột ngũ cốc trẻ em thuộc dòng Blédine đang bị thu hồi trên toàn nước Pháp do chứa độc tố gây ung thư.
(GLO)-Các bác sĩ khoa Gây mê hồi sức, Bệnh viện đa khoa Trung tâm tỉnh Gia Lai vừa cứu sống ngoạn mục một trường hợp suy đa tạng, sốc nhiễm khuẩn do viêm tụy cấp diễn tiến nặng, biến chứng suy đa tạng nhờ phối hợp áp dụng kỹ thuật lọc máu liên tục.
(GLO)- Trước tình trạng quá tải tại Khoa Ung bướu-Bệnh viện Đa khoa Trung tâm tỉnh Gia Lai do chuyển bệnh nhân đến không hợp lý, Sở Y tế có công văn số 2351/SYT-NVY về việc tăng cường điều trị tại chỗ và quản lý công tác chuyển cơ sở khám bệnh, chữa bệnh.
Phát hiện của các nhà khoa học Nga cho thấy bệnh nhân hậu COVID-19 có thể mắc bệnh hoại tử xương dẫn đến đau đớn, mất khả năng vận động và có thể phải thay khớp.
Bệnh viện Bệnh Nhiệt đới Trung ương cảnh báo người mắc sốt xuất huyết có thể trở nặng nhanh, đặc biệt người cao tuổi, bệnh nền cần theo dõi chặt chẽ.
(GLO)- Ngày 29-8-2025, Bệnh viện Mắt Sài Gòn Quy Nhơn đánh dấu cột mốc mới khi đạt 12.000 lượt phẫu thuật đục thủy tinh thể. Đây là kết quả đáng ghi nhận trên hành trình chăm sóc mắt, bảo vệ và phục hồi thị lực cho cộng đồng.
Ở nhiều người trẻ, cholesterol trong máu cao thường không được chú ý. Điều này không chỉ do nhiều người trẻ ít quan tâm sức khỏe, mà còn các triệu chứng thường chỉ xuất hiện khi bệnh đã ở mức nặng.
(GLO)- Những năm qua, công tác chăm sóc sức khỏe bà mẹ và trẻ em ở các vùng dân tộc thiểu số tỉnh Gia Lai đạt những kết quả đáng khích lệ. Một trong những nhân tố góp phần quan trọng vào thành công đó là đội ngũ cô đỡ thôn bản.