Một trường hợp mắc thoát vị lỗ bịt hiếm gặp, chỉ xảy ra trên 1% dân số, vừa được các bác sĩ Bệnh viện Hoàn Mỹ Sài Gòn can thiệp cứu sống.
Chiều 23-5, Bệnh viện Hoàn Mỹ Sài Gòn cho biết vừa cứu sống cụ bà Nguyễn Thị N. (88 tuổi) mắc bệnh lý hiếm gặp thoát vị lỗ bịt gây tắc ruột hoại tử.
Cụ N. nhập viện trong tình trạng suy kiệt, đau bụng kéo dài hơn 1 ngày, ói nhiều, bụng chướng to, không đi tiêu được kèm bệnh tim, thận mãn tính.
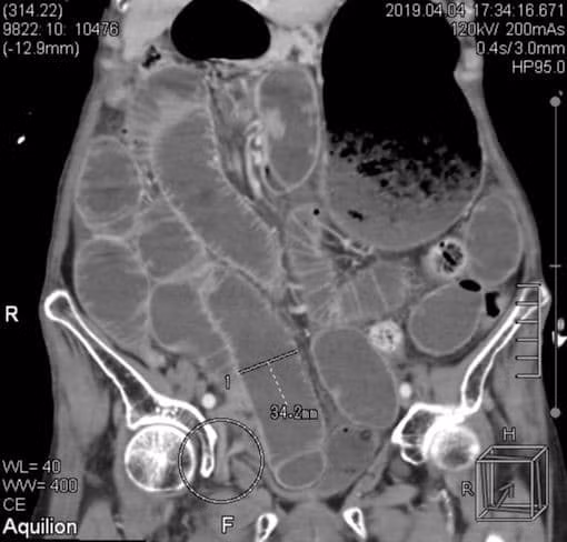
![]() |
| Vị trí bịt ruột gây tắc hoại tử hiếm gặp của bệnh nhân |
Qua thăm khám, CT bụng, các bác sĩ xác định cụ N. bị tắc ruột, nhiễm trùng nặng. Nguyên nhân là do một phần quai ruột non chui vào lỗ bịt, gây tắc và hoại tử ruột.
Ngay trong đêm, các bác sĩ đã phẫu thuật cấp cứu cắt đoạn ruột hoại tử và nối ruột cứu bệnh nhân. Sau đó, sức khỏe cụ N. hồi phục, ăn uống, đi tiêu bình thường.
![]() |
| Cụ N. được cứu sống sau khi được cắt hoại tử, nối ruột |
Theo bác sĩ CK II Nguyễn Thanh Thoại, Khoa Ngoại tiêu Hóa Bệnh viện Hoàn Mỹ Sài Gòn, thoát vị bịt là bệnh hiếm gặp, chiếm khoảng 0,07%-1% dân số. Bệnh hay xảy ra ở phụ nữ lớn tuổi, gầy, sinh nhiều.
Triệu chứng của bệnh không điển hình, chẩn đoán sớm thường khó khăn, diễn biến phức tạp nên thường chẩn đoán trễ, có khi tình trạng ruột hoại tử và thủng trên nền bệnh nhân già yếu, nhiều bệnh lý đi kèm nên nguy cơ biến chứng và tử vong cao.
Nguyễn Thạnh (NLĐO)

