(GLO)- Người nhà cho bé D.T.M.Th. (3 tháng tuổi) bú sữa pha bằng nước sông lắng phèn, không được đun sôi khiến bé Th. xuất huyết tiêu hóa nặng, giun làm tổ ở tá tràng.
Ngày 16-8, bác sĩ Nguyễn Minh Tiến-Phó Giám đốc Bệnh viện Nhi đồng, TP. Hồ Chí Minh cho biết: Bé D.T.M.Th. (3 tháng tuổi, ở Kiên Giang) được người nhà chuyển đến Bệnh viện Nhi đồng thành phố trong tình trạng lơ mơ, da và môi tái nhợt vì mất máu. Chỉ số Hct (tỷ lệ thể tích hồng cầu trên thể tích máu toàn phần) chỉ còn 14%, trong khi bình thường ở tuổi này 28-32%.
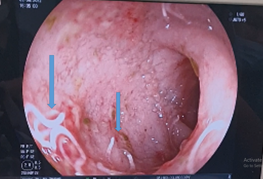
![]() |
| Nội soi tiêu hóa ghi nhận nhiều giun ở tá tràng, gây viêm loét chảy máu niêm mạc đường tiêu hóa. Ảnh BSCC |
Tại đây, các bác sĩ chẩn đoán xuất huyết tiêu hóa, viêm ruột, nhiễm trùng huyết, cho truyền dịch, truyền máu và chế phẩm máu. Các chẩn đoán hình ảnh ghi nhận bệnh nhi bị viêm phù nề niêm mạc dạ dày-tá tràng, đoạn cuối hồi tràng, nhiễm giun.
Bé Th. được các bác sĩ điều trị hỗ trợ hô hấp, tuần hoàn, truyền máu, chế phẩm máu, kháng sinh, vitamin K1 và thuốc xổ giun albendazole. Kết quả sau hơn 1 tuần điều trị trẻ tỉnh táo, hồng hào, hết xuất huyết tiêu hóa, cai máy thở bú khá.
Qua thông tin về cách nuôi dưỡng trẻ của gia đình, bé D.T.M.Th. được cho bú sữa bằng nước sông lắng phèn, không được đun sôi nên có thể trứng giun xâm nhập từ đây.
| Phụ huynh cần lưu ý khi chăm sóc trẻ, cho ăn chín, uống chín, rửa tay khi chế biến thức ăn, vệ sinh... để bảo đảm trẻ không bị lây nhiễm vi khuẩn, ký sinh trùng. |
GIA BẢO (tổng hợp)
![]() |

