Ngày 7/6, Bệnh viện Đa khoa tỉnh Kon Tum đã chuyển bệnh nhân A. B (50 tuổi, trú xã Măng Bút, huyện Kon Plông, tỉnh Kon Tum) đến điều trị tại Khoa Ngoại chấn thương sau khi phẫu thuật, cắt bỏ thành công khối u trung thất (khối u trong lồng ngực) với kích thước lớn 20x10cm, nặng 2 kg. Hiện sức khoẻ của bệnh nhân A. B có dấu hiệu chuyển hướng tốt.
![]() |
| Đội ngũ phẫu thuật thực hiện cắt bỏ khối u trong lồng ngực cho bệnh nhân A. B (50 tuổi, trú xã Măng Bút, huyện Kon Plông, tỉnh Kon Tum). Ảnh: TTXVN phát |
Ngày 5/6, bệnh nhân A.B nhập viện trong tình trạng đau ngực trái, đau tăng dần kèm mệt mỏi. Sau khi nhập Bệnh viện Đa khoa tỉnh Kon Tum, bệnh nhân đã được thăm khám và thực hiện các xét nghiệm cận lâm sàng cần thiết. Kết quả, các bác sỹ phát hiện có 1 khối u kích thước lớn ở trung thất của bệnh nhân. Sau quá trình hội chẩn, các bác sỹ đã chỉ định phẫu thuật bóc khối u này.
Với sự hỗ trợ của các bác sỹ đến từ Bệnh viện Đại học Y dược Thành phố Hồ Chí Minh, đội ngũ y, bác sỹ đã thực hiện phẫu thuật, bóc tách thành công toàn bộ khối u cho bệnh nhân.
Bác sỹ Chuyên khoa II Phạm Thanh Việt, Bệnh viện Đa khoa tỉnh Kon Tum cho biết, khối u của bệnh nhân dính chặt vào các thùy phổi, màng ngoài tim, thành ngực và các mạch máu lớn. Do đó, khi tiến hành bóc tách, các bác sỹ đã thực hiện nội soi gỡ dính và đánh giá khối u, sau đó mở ngực cắt toàn bộ khối u. Quá trình thực hiện đòi hỏi sự cẩn trọng, tỉ mỉ cao. Nhờ có sự đồng hành của các bác sỹ đến từ Bệnh viện Đại học Y dược Thành phố Hồ Chí Minh, quá trình bóc tách khối u đã thành công sau 6 tiếng đồng hồ.
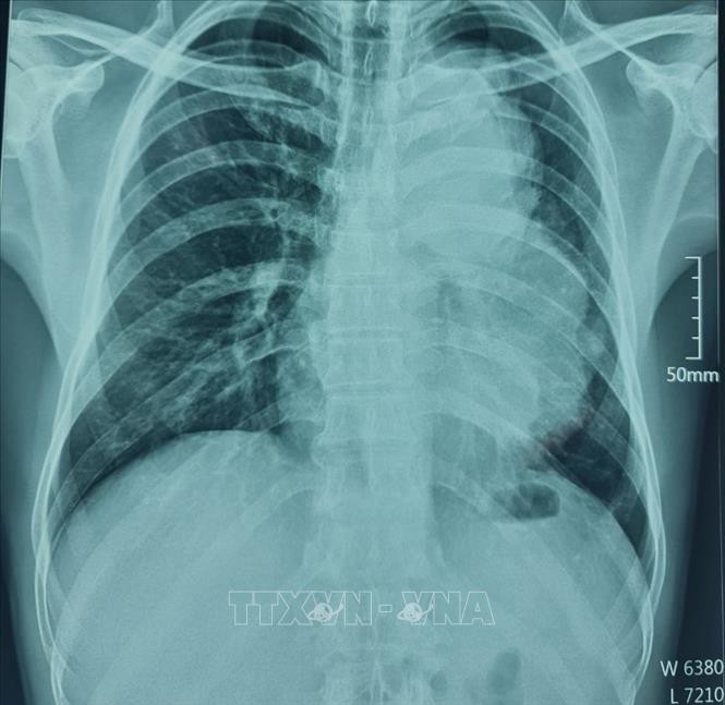
![]() |
| Hình ảnh cận lâm sàng bệnh nhân A. B (50 tuổi, trú xã Măng Bút, huyện Kon Plông, tỉnh Kon Tum) có u trong lồng ngực kích thước lớn. Ảnh: TTXVN phát |
Bệnh lý u trung thất không phải là bệnh lý hiếm tuy nhiên những khối u kích thước lớn chèn ép trung thất thường ít gặp. Phẫu thuật cắt bỏ thành công khối u trung thất kích thước, trọng lượng lớn đòi hỏi đội ngũ phẫu thuật viên cần có trình độ chuyên môn và sự phối hợp tốt của nhiều chuyên khoa như gây mê, phẫu thuật, hồi sức sau mổ.
Theo Khoa Chương (TTXVN)

