(GLO)- Uống nước vào buổi sáng hoặc khi bụng đói mang lại nhiều lợi ích cho cơ thể. Tuy nhiên, không phải loại nước nào cũng phù hợp, bởi một số thức uống có thể gây kích ứng dạ dày và ảnh hưởng đến sức khỏe nếu dùng lúc đói.
(GLO)- Nước chanh muối được nhiều người xem là thức uống “vàng” cho sức khỏe, đặc biệt trong những ngày nắng nóng. Tuy nhiên, nếu uống không đúng cách, sai thời điểm hay lạm dụng, loại nước này có thể gây hại cho dạ dày, răng miệng và làm rối loạn điện giải.
Ngày 11/9, TS.BS Phạm Ngọc Thạch, Phó giám đốc Bệnh viện Nhi đồng 2 cho biết, tại đây vừa phẫu thuật lấy khối u khổng lồ ở dạ dày cho trẻ sơ sinh. Đây là dạng u quái hiếm gặp, bệnh nhi là trường hợp đầu tiên ghi nhận tại Việt Nam.
Có nhiều nguyên nhân khác nhau khiến dạ dày một người trở nên nhạy cảm với thực phẩm. Đó có thể là do không dung nạp thực phẩm, căng thẳng, lo âu quá mức hay rối loạn tiêu hóa.
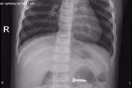
(GLO)- Ngày 14-12, Bệnh viện Sản Nhi tỉnh Phú Thọ cho biết, các bác sĩ khoa Cấp cứu đã tiếp nhận và kịp thời gắp 1 chiếc đinh vít sắc nhọn trong dạ dày bé N.P.C. (2 tuổi, trú tại huyện Lập Thạch, tỉnh Vĩnh Phúc).
Ở nhiều nền văn hóa, sả từ lâu được sử dụng như một loại dược liệu tự nhiên. Không những vậy, sả còn là gia vị, thậm chí dùng làm trà. Trà sả cũng mang lại nhiều lợi ích sức khỏe.
Rau má lá sen còn gọi là cỏ đồng tiền, rau má dù, không chỉ giúp tăng cường trí nhớ, mà còn làm đẹp da, giảm trầm cảm và lo âu. Dưới đây là 7 lợi ích của rau má lá sen.
Trà xanh rất giàu chất chống oxy hóa, mang lại nhiều lợi ích cho sức khỏe như giúp giảm cân, tăng sức đề kháng, phòng chống bệnh tật... Tuy nhiên, nếu bạn lạm dụng trà xanh thì vô tình biến lợi thành hại.
Bạn có thể đã nghe nói về vitamin A, C, D, E và K nhưng bạn đã bao giờ nghe nói về vitamin U chưa? Nó là một loại vitamin ít được biết đến hơn nhưng nó có khả năng điều trị một số vấn đề liên quan đến dạ dày.
Khi bị chứng khó tiêu, nhiều người thường chạy ngay đến nhà thuốc để mua một số loại thuốc không kê đơn. Nhưng thay vì vội vã đi mua thuốc, chúng ta hoàn toàn có thể trị khó tiêu ngay tại nhà bằng các phương pháp tự nhiên.
Ngày 20-3, BS CK2 Hoàng Vĩnh Chúc-Trưởng khoa Ngoại tiêu hóa, BV Bình Dân TP. HCM, cho biết sáng cùng ngày, BV đã sử dụng kỹ thuật robot hiện đại, lần đầu tiên phẫu thuật ung thư dạ dày cho bệnh nhân.