Bệnh nhi bị sổ mũi kèm dịch xanh, nghẹt mũi, đau má phải và đã vài lần chữa viêm xoang mà không hết. Cuối cùng, bác sĩ chụp MRI đã phát hiện bệnh ung thư.
Nhóm nghiên cứu từ Bệnh viện Frimley Park (Surrey-Anh) vừa công bố một ca bệnh ung thư khá hy hữu mà họ vừa phát hiện để nhắc nhở mọi người đừng chủ quan nếu bị sổ mũi liên tục chỉ ở một bên mũi. Đó có thể là dấu hiệu của một khối u.
  
![]()  |  
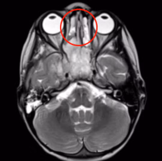
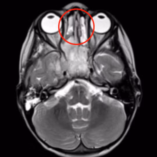
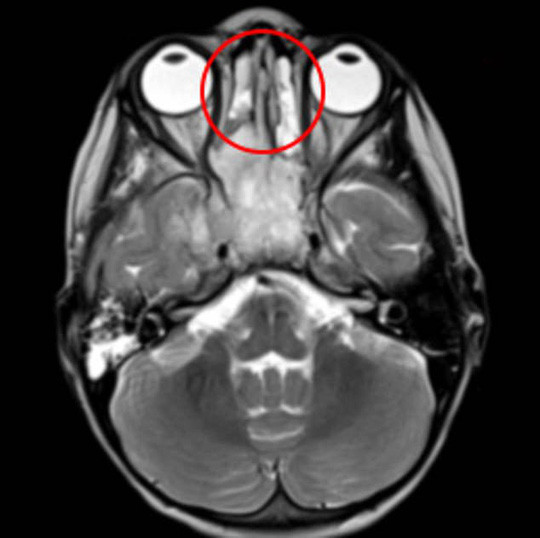
| Khối u (khoanh tròn đỏ) được thể hiện trong phim MRI - ảnh do bệnh viện cung cấp | 
Bệnh nhi giấu tên là một bé gái mới 3 tuổi đến từ Camberley, Surrey, đã một thời gian dài chịu đựng tình trạng sổ mũi liên tục ở lỗ mũi bên phải. Có lúc bệnh trở nặng khiến bé đau lan vùng má phải, nước mũi lẫn chất nhầy xanh và có khi lẫn máu.
 Cha mẹ bé đã đưa con gái đến bác sĩ vài lần. Bé đã trải qua 2 đợt điều trị bằng kháng sinh và thuốc nhỏ mũi, với chẩn đoán viêm xoang, nhiễm trùng mắt. Tuy nhiên, các triệu chứng vẫn không cải thiện.
 Cuối cùng, bé được đưa đến Bệnh viện Frimley Park để chụp MRI. Các bác sĩ đã phát hiện một khối u lớn trong khoang mũi. Bé bị chẩn đoán mắc bệnh ung thư khoang mũi hiếm gặp. Căn bệnh tấn công xương và một phần mô bên trong khoang mũi, thậm chí đã lan một ít đến vùng xương sọ, cơ hàm và cả một số tế bào não bộ.
 Điều an ủi duy nhất là bệnh không có dấu hiệu di căn đến các bộ phận khác trên cơ thể. Cô bé vừa bắt đầu quá trình hóa trị và xạ trị tích cực.
 Qua ca bệnh trên, các bác sĩ khuyến cáo mọi người hãy đi tầm soát ung thư nếu triệu chứng sổ mũi tưởng chừng như vô hại chỉ xuất hiện ở một bên mũi. Với các trường hợp viêm đường hô hấp, bệnh nhân sẽ sổ mũi ở cả hai bên.
A. Thư (theo Daily Mail, nld)
