![]() |
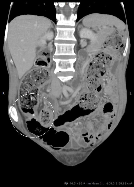
| Vị trí u gây tắc ruột suýt vỡ của người đàn ông |
![]() |
| Bệnh nhân qua nguy kịch sau khi được phẫu thuật |
![]() |
| Vị trí u gây tắc ruột suýt vỡ của người đàn ông |
![]() |
| Bệnh nhân qua nguy kịch sau khi được phẫu thuật |
(GLO)- Cục Quản lý Dược (Bộ Y tế) vừa ban hành công văn về việc đảm bảo cung ứng thuốc phòng - chống dịch bệnh và nhu cầu sử dụng thuốc trong dịp Tết Bính Ngọ 2026. Trong đó, Cục Quản lý Dược yêu cầu không để xảy ra tình trạng đầu cơ, lợi dụng dịp Tết để tăng giá thuốc.
(GLO)- Thời gian qua, tỉnh đã quan tâm đầu tư cơ sở hạ tầng, trang thiết bị và đào tạo nâng cao chuyên môn cho đội ngũ nhân lực y tế cơ sở. Nhiều trung tâm y tế đã triển khai các kỹ thuật cao, chuyên sâu, giúp người dân tiếp cận thuận lợi với các dịch vụ chăm sóc sức khỏe tốt hơn ngay từ cơ sở.
(GLO)- Ngày 30-1, bệnh nhân P.T.H (SN 1975)- thôn 3, xã Biển Hồ đã ổn định sức khỏe. Trước đó, bệnh nhân vào cấp cứu tại Bệnh viện đa khoa Gia Lai (phường Pleiku) trong tình trạng nguy kịch do nhồi máu cơ tim cấp, ngưng tim và được các y, bác sĩ cứu chữa kịp thời.
(GLO)- Ngày 28-1, Sở Y tế Gia Lai có Công văn số 680/SYT-NVY gửi Trung tâm Kiểm soát bệnh tật tỉnh; các trung tâm Y tế trực thuộc; các bệnh viện đa khoa, chuyên khoa trực thuộc Sở; UBND các xã, phường về việc chủ động công tác phòng, chống dịch bệnh do vi rút Nipah.
(GLO)- Cục Quản lý Dược (Bộ Y tế) vừa có thông báo thu hồi trên toàn quốc lô thuốc Viên nang cứng Diacerein 50 (Diacerein 50mg) vì không đạt tiêu chuẩn chất lượng về chỉ tiêu hàm lượng nước. Đây là loại thuốc thường được chỉ định trong điều trị thoái hóa khớp.
(GLO)- Mới đây, các nhà khoa học thuộc Viện Hóa học (Viện Hàn lâm Khoa học và Công nghệ Việt Nam) đã phát triển các dẫn xuất mới từ zerumbone có trong gừng gió để nâng cao hiệu quả và độ an toàn trong hỗ trợ điều trị ung thư.
(GLO)- Ngày 28-1, Bệnh viện Đại học Y Dược - Hoàng Anh Gia Lai cho biết đơn vị vừa tiếp nhận bệnh nhân N.T.B. (SN 1966, trú tại xã Pờ Tó) vào cấp cứu trong tình trạng bàn tay phải bị cuốn chặt vào máy xay thịt, gần như bị nghiền nát.
(GLO)- Tối 27-1, Cục quản lý Khám chữa bệnh (Bộ Y tế) đã có văn bản hỏa tốc gửi các bệnh viện trực thuộc Bộ Y tế; Y tế các bộ, ngành; Sở Y tế các tỉnh, thành phố trực thuộc Trung ương về việc chủ động phòng - chống bệnh do virus Nipah.
(GLO)- Nhằm nâng cao chất lượng chăm sóc sức khỏe nhân dân, thời gian qua, Bệnh viện Đa khoa khu vực Bồng Sơn tập trung đẩy mạnh phát triển các kỹ thuật mới, đặc biệt là kỹ thuật ngoại khoa.
(GLO)- Nhiều loại cây cảnh được trồng phổ biến trong nhà và nơi công cộng nhờ vẻ ngoài bắt mắt. Tuy nhiên, ít người biết rằng một số loài trong số đó lại chứa độc tố, có thể gây hại cho sức khỏe, đặc biệt với trẻ nhỏ và vật nuôi.
(GLO)- Ngày 25-1, tại Bệnh viện đa khoa Trung tâm tỉnh Gia Lai (phường Quy Nhơn), Câu lạc bộ 25 Bình Định (thuộc Hội Chữ thập đỏ tỉnh Gia Lai) phối hợp với Ban chỉ đạo vận động hiến máu tình nguyện tỉnh tổ chức Lễ hội Xuân hồng năm 2026.
Trời lạnh khiến cơ thể mất nước qua hơi thở và mồ hôi nhanh, làm máu trở nên đặc và dễ hình thành cục máu đông, tăng nguy cơ đột quỵ.
(GLO)- Ngày 24-1, Bệnh viện Đại học Y Dược - Hoàng Anh Gia Lai (phường Hội Phú) cho biết vừa phẫu thuật thành công trường hợp bệnh nhân B.V.Q. (SN 1959, xã Đak Đoa) mang ống thông niệu quản (sonde JJ) bị đứt đoạn trong cơ thể suốt hơn 10 năm, vượt xa khuyến cáo y khoa.
(GLO)- Trong quá trình mổ bò, vợ chồng ông Lê Văn Hùng - bà Lưu Thị Hường (làng Prông Thoong, xã Ia Băng, tỉnh Gia Lai ) vui như “bắt được vàng” khi phát hiện một vật thể lạ trong túi mật con bò. Theo kinh nghiệm làm nghề 30 năm, họ cho rằng đó là ngưu hoàng - một vị thuốc quý hiếm trong đông y.
(GLO)- Nhiều gia đình có thói quen đun sôi nước rồi để nguội dùng dần trong nhiều ngày. Tuy nhiên, việc bảo quản và sử dụng nước đun sôi để lâu có thực sự an toàn hay không là điều không phải ai cũng hiểu đúng.
(GLO)- Từ các chương trình phẫu thuật mắt miễn phí do Bệnh viện Mắt tỉnh phối hợp với Hội Bảo trợ bệnh nhân nghèo và các nhà hảo tâm, nhiều trẻ em, người nghèo đã tìm lại ánh sáng và thêm cơ hội vươn lên trong cuộc sống.
(GLO)- Nếu muốn uống nước cam, hãy nhớ tiêu thụ với khẩu phần nhỏ và đừng tạo thói quen uống quá nhiều mỗi ngày để đảm bảo sức khỏe-theo Chuyên gia dinh dưỡng hướng dẫn.
(GLO)- Chiều 21-1, thông tin từ Bệnh viện Quân y 211 (phường Thống Nhất), 1 bệnh nhân nam vô danh, nhập viện trong tình trạng nguy kịch do đột quỵ não, tăng huyết áp, không có người thân, bảo hiểm y tế và không có khả năng chi trả chi phí điều trị đã được bệnh viện cùng người dân hợp lực cứu sống.
(GLO)- Một cốc nước ấm pha mật ong vào buổi tối không chỉ giúp cơ thể thư giãn trước khi đi ngủ mà còn hỗ trợ làm dịu dạ dày và cải thiện chất lượng giấc ngủ. Vì vậy, thói quen này nên duy trì đều đặn mỗi ngày.
(GLO)- Ngày 19-1, tại Bệnh viện Đại học Y Dược - Hoàng Anh Gia Lai (phường Hội Phú), chuyên gia Bệnh viện Đại học Y Dược TP. Hồ Chí Minh trực tiếp hội chẩn và triển khai nội soi mật tụy ngược dòng (ERCP) cho bệnh nhân trên địa bàn phía Tây tỉnh Gia Lai.
(GLO)- Quốc hội đã thông qua Luật Phòng bệnh số 114/2025/QH15 ngày 10-12-2025, đánh dấu bước chuyển căn bản của hệ thống y tế, tạo nền tảng quan trọng trong nâng cao sức khỏe nhân dân.
(GLO)- Thực hiện Dự án 7 “Chăm sóc sức khỏe nhân dân, nâng cao thể trạng, tầm vóc người dân tộc thiểu số; phòng, chống suy dinh dưỡng trẻ em” giai đoạn 2021-2025, tỉnh Gia Lai đã triển khai đồng bộ nhiều giải pháp chăm sóc sức khỏe cộng đồng tại cơ sở.
(GLO)- Ngồi làm việc nhiều giờ trước máy tính là đặc thù của dân văn phòng, song tư thế ngồi sai có thể gây đau lưng, mỏi cổ và ảnh hưởng lâu dài đến cột sống. Những mẹo ngồi đúng tư thế dưới đây giúp giảm áp lực cơ - xương - khớp và nâng cao hiệu quả làm việc.
(GLO)- Ngày 17-1, Bệnh viện Đa khoa Gia Lai (phường Pleiku) tổ chức Hội thảo Khoa học "Cập nhật các phương pháp kết hợp xương điều trị gãy xương đùi vùng mấu chuyển" với sự tham gia của các bác sĩ, chuyên gia đến từ bệnh viện trong và ngoài tỉnh.