Ho ra máu có thể do nhiều nguyên nhân khác nhau, có khoảng 5% trường hợp ho ra máu ồ ạt có thể đe dọa tính mạng, nhưng có thể có tỷ lệ tử vong cao, từ 7 - 35%.
![]() |
| Nấm phổi là căn bệnh có thể gây tử vong cao - ẢNH: BVCC |
Ngày 23.10, Bệnh viện đa khoa Xuyên Á TP.HCM cho biết bệnh viện vừa cắt một phần phổi để điều trị bệnh ho ra máu cho nam bệnh nhân tên T. (54 tuổi, ngụ tại H.Hóc Môn, TP.HCM).
Bệnh nhân cho biết 2 tuần trước đó bệnh nhân xuất hiện triệu chứng ho ra máu, sau đó ho ra máu ồ ạt với lượng nhiều nên nhập viện. Mặc dù điều trị bằng thuốc nhưng tình trạng ho ra máu không cải thiện nhiều khiến bệnh nhân rất lo lắng.
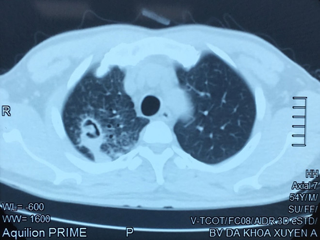
Tại Bệnh viện đa khoa Xuyên Á, qua khám lâm sàng và chụp CT scanner lồng ngực, các bác sĩ phát hiện tổn thương do nấm khu trú ở thùy trên phổi phải, kèm tổn thương thâm nhiễm. Với triệu chứng này bác sĩ nghĩ bệnh nhân chắc chắn bị tổn thương do nấm gây ho ra máu. Kết quả các mẫu xét nghiệm đàm xác định bệnh nhân không bị lao.
Bệnh nhân đã được các bác sĩ khoa Phẫu thuật Tim mạch - Lồng ngực cắt bỏ thùy trên phổi phải có chứa nấm. Ngay sau mổ, bệnh nhân hoàn toàn ổn định, các ống dẫn lưu ở ngực đã được rút sau mổ 48 giờ, nhu mô phổi còn lại nở tốt và đặc biệt bệnh nhân hoàn toàn hết ho ra máu.
Theo các phẫu thuật viên tim mạch lồng ngực, các nguyên nhân như viêm, áp xe, giãn phế quản, lao, nấm phổi hay ung thư đều có thể gây ho ra máu lượng nhiều.
Việc ho ra máu lượng nhiều, ồ ạt, ngoài vấn đề mất máu còn có nguy cơ gây tắc đường thở, gây nguy hiểm tính mạng người bệnh.
Do đó, tất cả các trường hợp có ho ra máu cần phải đến ngay bệnh viện có chuyên khoa phẫu thuật lồng ngực và chuyên khoa hô hấp để đánh giá chẩn đoán, tìm nguyên nhân và có chiến lược điều trị thích hợp nhằm mang lại kết quả tốt nhất cho người bệnh. Đặc biệt, những tổn thương khu trú (lao, nấm, giãn phế quản, ổ áp xe...) cần phẫu thuật điều trị triệt để ho ra máu.
| |
Duy Tính (thanhnien)
