TPO - Vì bàn chân có 6 ngón nên bé L. rất khó để chọn giày dép, hầu như từ nhỏ đến lớn em chưa bao giờ mang được giày.
Ngày 6/7, Bệnh viện Gia đình (Đà Nẵng) cho hay đã phẫu thuật thành công cho bé T.L. (quê Quảng Nam) có dị tật thừa 4 ngón tay, chân.
![]() |
| Bàn tay, chân của bé đều 6 ngón. |
Ngày 27/6, chị H.M., mẹ của bé L. đưa bé đến bệnh viện để thăm khám và bày tỏ mong muốn thực hiện phẫu thuật để loại bỏ những ngón tay, chân thừa cho bé. Mỗi bàn tay, bàn chân của bé L. đều có 6 ngón. Mặc dù các ngón tay chân vẫn phát triển và có xương bình thường nhưng việc dư thừa các ngón khiến cho sinh hoạt của em bị cản trở, đặc biệt là khi lựa chọn giày, vận động, chạy nhảy.
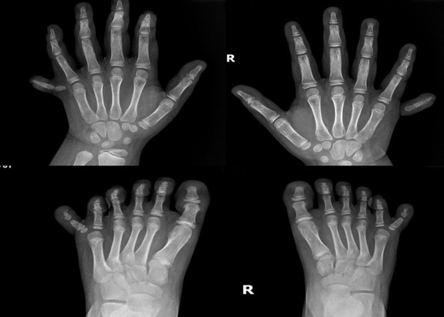
Ngay sau khi tiếp nhận, bệnh viện đã thực hiện X-quang, các cận lâm sàng cần thiết, hội chẩn, sau đó tiến hành phẫu thuật. Các bác sĩ thực hiện ở chân trước với các khâu cắt xương, kết hợp xương, tái tạo dây chằng và gân, sau cùng là khâu thẩm mỹ. Sau khi đã loại bỏ phần ngón chân thừa xong, các bác sĩ bắt đầu thực hiện tương tự ở hai bàn tay.
![]() |
| Sau phẫu thuật. |
Sau 3 giờ đồng hồ, ca phẫu thuật kết thúc thành công, T.L. được chuyển về phòng hậu phẫu. Hai ngày sau phẫu thuật, hai tay em đã có thể nắm đồ vật, không còn bị khó chịu và đau đớn.
Chị H.M chia sẻ: “Vì chân có 6 ngón nên con rất khó để chọn giày dép, hầu như từ nhỏ đến lớn bé chưa bao giờ mang được giày. Bây giờ bé sắp vào lớp một, cả nhà quyết tâm thực hiện sớm, tránh để lại tâm lý tự ti cho con”.
![]() |
| Bé L. đã cầm nắm được đồ vật. |
Theo bác sĩ CKI Huỳnh Đắc Anh, dị tật thừa ngón là tình trạng bẩm sinh khi có ngón tay hoặc ngón chân thừa (nhiều hơn 5 ngón), gặp phải ở khoảng 2/1000 trẻ sơ sinh. Tuy nhiên, sự xuất hiện đồng thời của dị tật thừa ngón ở cả tứ chi cùng lúc là một trường hợp cực kỳ hiếm gặp, chỉ với một số ít trường hợp được báo cáo trên toàn thế giới.


